I.映像・情報・コンピュータ関連

技術史資料

主にVTR,テレビ,カメラ等映像に係わる技術、電話,計算機,コンピュータ等情報・通信に係わる技術を掲載しています

VTRは、放送用からスタートした。当初はアンペックス社の独擅場であったが、やがて、東芝のヘリカルスキャン方式など、わが国独自の技術も育ってきた。

そのうちに製品開発の主戦場は家庭用VTRに移り、有名なVHS方式、β方式の競争時代を迎えることになる。本報告書ではVTRの主なキーテクノロジーの発展を主軸としてVTR開発史が記されている。

資料の詳細を見る(PDF)(7.2 MB)

002_01国産初テープ
002_02ベータ初号機
002_03VHS初号機

コンピュータの歴史は米国が戦時中に軍用に開発したENIACとともに始まる。この機はプログラム内蔵型の初号機であるEDSACに発展していく。

日本では1956年に富士フィルムで光路解析用に開発された真空管式のFUJICが最初のコンピュータとされている。その後阪大や東大で真空管式コンピュータの開発が行われたが、やがて電気試験所でトランジスタ式コンピュータの開発が始まり、ETL MarkIIIやETL MarkIVの実現を見るに到る。この間、日本独自の発明になるパラメトロン素子を使ったコンピュータも開発された。

本論文では、以上のようなコンピュータ開発の初期の歴史が分かりやすく記述されている。

資料の詳細を見る(PDF)(4.1 MB)

003_02パラメトロン・コンピュータ
003_03オフィスコンピュータ
003_01阪大真空管計算機

第3世代は1964年にIBMがコンピュータ史上名高いシステム360を発表して膜を開けた。このシステムは小型から大型まで単一のアーキテクチャで実現されていた。「コンピュータ・アーキテクチャ」という用語はIBMがシステム360に対して使用したものである。

このシステムでは単一アーキテクチャを実現するためにマイクロプログラム方式を採用していた。また、ハードウェア技術としてはハイブリッドICを用いていた。

第3.5世代は1970年にIBMが発表したシステム370に始まるが、主記憶に初めてICメモリが採用された。

IBMのこのような動きに呼応して国内企業も対応機を開発した。特に70年代に入ってからはNEC-東芝、富士通-日立のように企業連合を組んでACOSシリーズ、Mシリーズの開発を推進した。

本論文ではそのほかにスーパーコンピュータや翻訳機などの応用システムについても触れている。

資料の詳細を見る(PDF)(4.7 MB)

006_02FONTAC
006_03スーパーコンピュータ
006_01KTパイロット計算機

国立科学博物館が情報処理学会に委託して行ったオフコンの調査結果をまとめた報告書である。同学会では主要なコンピュータメーカー、大学から委員を募って歴史特別委員会の中に「オフィスコンピュータ歴史調査小委員会」を組織して調査した。

誕生当時超小型電子計算機と称されたオフコンが登場したのは1960年代初頭であった。当時の利用形態は伝票発行機、電子会計機、超小型事務用電子計算機といったものであった。

1970年代後半には分散処理技術を導入、末期には日本語処理技術が取り入れられ、使い易さが飛躍的に向上した。1980年代中期になると32ビット化が可能となり、やがてパソコンとの競合・並存を経てオープン化に到った。

報告書ではこのような歴史の中に登場したオフコンの中で歴史的に注目すべき名機をメーカー別に挙げている。

資料の詳細を見る(PDF)(2.2 MB)

008_02TOSBAC-1100E
008_03NEACシステム100
008_01カシオ作表計算機

電気試験所は早くからデジタルコンピュータの開発に着手し、1952年にリレーを用いたETL MarkIをパイロットモデルとして試作し、その実用機であるETL MarkIIを1955年に完成した。

その後トランジスタコンピュータの開発に取り組み、世界初のプログラム内蔵式トランジスタコンピュータであるETL MarkIIIを1957年に開発した。

MarkIIIでは点接触型のトランジスタであったが、MarkVIでは安定度の高い接合型トランジスタを用いた。このシリーズはMarkVIまで続き、同機では海外の超高速コンピュータを凌駕するということを目標に開発が進められ、1965年3月に完成した。

この調査では、このシリーズ所縁の資料の調査を行い、保管されていた初期のトランジスタ開発に関わる貴重な資料を同定し、系統化した。

資料の詳細を見る(PDF)(1.2 MB)

011_02ELT MarkIV
011_03機械翻訳機「やまと」
011_01ETL MarkIII

世界で最初にブラウン管による受像を成功させたのは日本人技術者の高柳健次郎であるという。高柳によれば、それは大正天皇崩御の日であったという。世界初ということについては諸説あって、必ずしも世界的に一致して認められているわけではないが、日本が初期のテレビ開発において世界の最先端にあったことは事実である。幻に終わった1940年のオリンピック東京大会に向けてかなりのものが開発されていた。

その後戦争による空白期があったものの、1953年にテレビ放送が開始されるや、多くの国内メーカーがテレビ開発にしのぎを削り、世界に覇を唱えるに到った。このような中から名機トリニトロン等、多くの技術開発がなされた。

資料の詳細を見る(PDF)(5.5 MB)

015_02初めて市販されたテレビ
015_03トリニトロン
015_01「イ」の字

計算機械の歴史の初期はパスカルやライプニッツ等の天才の名前で飾られる華やかなものであるが、わが国ではタイガー計算機が有名である。60代以上の人ならば誰でもお世話になったはずである。

長い間、わが国の最初の計算機械はこのタイガー計算機であると思われていたが、森鴎外が「小倉日記」の中で矢頭良一と彼の発明になる自動算盤について記していたことと、1960年代になって、残されていた自動算盤の一台が発見され、一躍注目を集めるに到った。

本論文では、計算機械の簡単な歴史と、自動算盤、矢頭良一の生涯について記述している。

資料の詳細を見る(PDF)(2.6 MB)

019_02タイガー計算機
019_03自働算盤
019_01パスカルの計算機

電卓は日本で育った技術である。古来日本人の基本的なリテラシーとされた「読み・書き・ソロバン」のソロバンを代替するものとして、電卓に対する文化的土壌が整っていたことが背景にある。

一方で、この電卓は、半導体とディスプレイと言う、その後の日本の電子産業の主役を育てたという上で別の大きな意味を持つ。世界をリードした電卓の技術開発史を、多面的に俯瞰した報告書である。

資料の詳細を見る(PDF)(5.4 MB)

021_02コンペット
021_03カシオミニ
021_01EL-500

現在の世の中になくてはならなくなった携帯電話、その基本となる無線技術については、日本は早くから取り組み、世界的に見ても先頭を歩んできた。

日露戦争のバルチック艦隊迎撃の際の「敵艦見ゆ」のエピソードや八木・宇田アンテナの発明などはこの事実を物語っている。

本論文では、携帯電話の端末側に重点を置いて記述している。携帯電話は無線通信の中でも移動通信に属するが、その初めは警察無線、内航船舶電話などであった。

現在の携帯電話の技術に近くなるのは自動車電話からである。当初は体積7,000CC、重量7kgであった。その後日本初の携帯電話が出現するが、体積500CC、重量750gと、現在のそれと比べると今昔の感がある。

資料の詳細を見る(PDF)(8.4 MB)

024_06ムーバ
024_02TYK式無線電話
024_05大阪万博の携帯電話

現在の世の中になくてはならなくなった携帯電話、本論文では携帯電話の基地局技術に重点を置いて記述している。

警察無線、内航船舶電話、列車無線を経て自動車電話に到った移動通信はセルラ方式を採用して周波数を有効活用する技術を開発した。しかし、アナログ方式では激増する加入者数に対応できなくなったことに加え、高品質の通信への指向もあって第二世代のデジタル化に進んでいった。

その後、第三世代に到ってグローバルサービスが実現し、マルチメディア通信が可能となりインターネットとの親和性が高くなった。これら一連の技術進歩の過程で日本は常に世界をリードしてきた。

資料の詳細を見る(PDF)(10.3 MB)

028_01我が国初の無線電信室
028_02依佐美送信所
028_04基地局アンテナ

電子管の中でも特に、極管、マグネトロン、クライストロン、進行波管、ジャイロトロン等、電波に関わる電子管に焦点を当てて記述している。

この分野における日本人の貢献は大きく、その主なものとして、戦前においては東北大の岡部金治郎による分割陽極型マグネトロンの発明があり、近年では世界で初めてのエネルギー回収型ジャイロトロンの開発がある。前者はマグネトロンの実用化への道を拓き、後者は核融合炉の加熱用として期待され、ITERの主加熱候補に挙げられている。共に国立科学博物館の未来技術遺産として登録されている。

資料の詳細を見る(PDF)(6.0 MB)

030_01X線管
030_02初期の受信管
030_032分割型マグネトロン

デジタル・スチルカメラ(デジカメ)は日本人の手によって開発され、世界初の試作機が日本企業で開発されてから僅か15年で、生産量で従来の銀塩カメラを上回るに到った。

その重要な要素技術の一つであるフラッシュメモリも日本人の発明になるものである。JPEGを用いたデジタル・スチルカメラの統一規格も日本の提案であり、デジカメはまさに日本発の技術である。このデジカメの歴史について、デジカメの生みの親の一人である技術者が、独自の技術観でまとめている。

資料の詳細を見る(PDF)(4.3 MB)

039_02マビカ
039_03DS-1P
039_01試作機「熱子」

今や原子1個1個を見ることができるようになった電子顕微鏡であるが、最初に試作したのはドイツのルスカを中心とするグループであった。

全世界で5000万人の死者を出したといわれるスペイン風邪ののウィルスはそれまでの光学顕微鏡では特定できず、さらに倍率の高い電子顕微鏡の開発が期待されていた。日本は戦前から文献や帰国留学生の情報を基に開発を進め、終戦直後には5社から商用機が発売された。

現在ではわが国の電子顕微鏡の技術は世界最高水準に達しており、これらを使用した研究により、これも世界的レベルのカーボンナノチューブや電子線ホログラフィーの成果を生み出している。

資料の詳細を見る(PDF)(3.2 MB)

041_01日本初試作の電子顕微鏡
041_02超高圧電子顕微鏡
041_03水のチャンネル構造

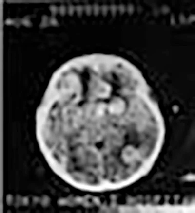
X線CTによって医療診断技術は格段に進歩した。現在では、癌かそうでないかしばらく様子を見なければ分からないほどの小さなものまで検出できるという。

CTは1968年に英国のEMI社のハンスフィールドによって発明されたが、これに先立つこと20年、日本の高橋信次がX線回転撮影法の研究に着手していたことはあまり知られていない。

ハンスフィールドの発明以降では高速連続回転CT,ヘリカルスキャンという、現在のCTへの重要な貢献となった研究も日本発のものであり、この分野での日本の貢献は大きい。

本論文ではCT装置の原理から始まって、上記のような主要な歴史的事実を中心に、CTの技術史をまとめている。

資料の詳細を見る(PDF)(6.3 MB)

045_01日本初のCT画像
045_02国産初の頭部CT

フェライトは金属に比して電気的な比抵抗が大きいために、高い周波数領域で優れた磁気特性を示すことから、電子部品として欠かせないものである。このフェライトは1930年に東京工業大学の加藤と武井によって発明された。

嘗ては集積回路の弱点とされたインダクタが現在ではフェライトを使った積層チップインダクタで対応できるようになった。全体の生産量で中国に譲るようになった日本も、このような高機能デバイスでは尚他国の追随を許していない。

本論文ではそのほかにフェライトの結晶学的な分類等、基礎的な面の解説にも触れている。

資料の詳細を見る(PDF)(6.4 MB)

051_01ガーネット型の結晶構造
051_02小型モータとフェライト
051_03電波吸収体

日本の現代社会に生きる人で、テープレコーダーのお世話にならなかった人はいないであろう。それほど、ビジネスに、教育に、趣味にテープレコーダーは欠かせないものであった。ある時期以降、技術開発の面でもビジネスの面でも日本メーカーが世界的に重きをなした分野でもある。旧くは世界に誇る交流バイアス法の発明があり、80年代に到っては、世界中の文化に大きな影響力を与えた名機ウォークマンの創出があった。

本論文では、オバリン・スミスによる磁気録音の発明、これに続くポールセンのワイヤレコーダーの発明に始まるテープレコーダーの開発史を、戦後の日本メーカーの健闘を中心に記述している。

資料の詳細を見る(PDF)(7.6 MB)

073_02ソニーTC-111
073_03ラミネートヘッド
073_04ウォークマン1号機

現在では、ビデオカメラはほとんどの家庭に普及しており、なじみ深い製品である。その大きさも掌に収まるサイズとなっているが、嘗ては撮像管を使った大掛かりなもので、1974年に製品化されたものは当時の価格で30万円もするものであった。

本論文では、ビデオカメラの発展の歴史を、光学系、光電変換装置、デジタル信号処理、録画システム、高密度実装技術など、キーとなる要素技術の発展と共に記述している。

資料の詳細を見る(PDF)(30.2 MB)

078_01撮像管とCCD
078_02世界初MOSビデオカメラ
078_03パスポートサイズカメラ

最近では電子メールに主役の座を譲ったかの感があるファクシミリであるが、嘗てはテキストや画像情報の有力な伝達手段として、不可欠のものであった。家庭にも電話と共に普及し、日常生活で利用されている。

本論文ではベインの発明に始まるファクシミリの歴史を、要素技術の発展や、ファクシミリの主要な課題の一つであった標準化の経緯を交えながら記述している。

資料の詳細を見る(PDF)(20.4 MB)

079_01Arlincourtの ファクシミリ
079_02NE式送信機
079_03G3準拠ファクシミリ

アナログディスクレコードというと、はてどのようなものか、と考え込む向きもあるかもしれない。つまりは昔懐かしいレコードである。CDの出現までは、磁気テープと並ぶ音楽の記録媒体であった。このようなことを記述する必要性があること自体、レコードが歴史の彼方に消え去ろうとしていることを物語るものである。一部のマニアを除き、最近ではレコードに接する人はほとんどいないであろう。

論文では、エジソンによる発明から電気吹き込み技術の開発、録音再生時間の長時間化、ステレオ化といったレコードに関する技術の発展過程を、興味深いエピソードと共に記述している。

資料の詳細を見る(PDF)(5.9 MB)

083_01蝋管シリンダと 円盤レコード
083_02ラッパ型蓄音器
083_03民生用ポータブル円盤録音機

音楽レコードが家庭に普及するにつれて、「絵の出るレコード」に対するニーズが次第に強くなり始めた。特に米国のRCAは社運をかけるほどの勢いであった。数種類の方式が試みられた中で、勝ち残ったのはレーザによる書き込み再生方式であった。家庭用や教育用として普及したが、最も大きな市場はカラオケシステムであった。

本論文では、レーザ方式(LD)のライバルであったCED]方式、VHD方式などの概要に始まり、DVDが現れるまでのLDの技術開発の歴史について記述している。

資料の詳細を見る(PDF)(7.3 MB)

085_01世界初の産業用 LDプレーヤ
085_02LD信号面の顕微鏡写真
085_03最後のLD/CD/DVDプレーヤ

パソコンは20世紀末の社会を、そのシステムや文化において作り変えてしまった。

本論文は、本系統化シリーズにおいて、コンピュータ関係で4つのテーマの系統化を手掛けた著者が、パソコンの誕生時からの発展を追ったものである。パソコン誕生の経緯、ハード、ソフトの主要技術、周辺技術等の発展について丹念に記述している。

また、上述の、パソコンが社会システムを変えたという観点から、パソコンと社会との相互作用についても掘り下げた議論を展開している。

資料の詳細を見る(PDF)(7.6 MB)

086_01AppleⅡ
086_02トレーニングキットTK-80
086_03PC 8001

今や個人が電話を持ち、ネットに書き込みをし、ホームページで情報を発信する時代となり、通信の在り様は一昔前と比べて大きく変わってきた。一家に一台の電話を取り付けるのにも長く待たされる時代を知っているものには隔世の感がある。本論文は通信システムにおいて必要とされていた交換機について、その原理と歴史について論じている。ステップ・バイ・ステップ、クロスバー、アナログ電子交換、デジタル電子交換と進んできた交換機の技術発展歴史の中で、日本人が果たした輝かしい成果についても述べている。すなわち、中島のスイッチング理論、染谷の波形伝送理論、秋山のPAM交換機、猪瀬のタイムスロット入れ替え等である。中でも猪瀬のタイムスロット入れ替えは画期的な発明であり、基本技術としてその後の世界のデジタル電子交換の発展の礎をなすものであった。

資料の詳細を見る(PDF)(4.4 MB)

090_01国産A形交換機 (中野局)
090_02国産第一号小局用クロスバ交換機 (栃木・三和局)
090_03D70形ディジタル市内交換機

今や通常の生活を送っていれば、液晶ディスプレイを目にしない日は一日としてないと言ってもいいであろう。テレビ、パソコン、スマホといった製品のディスプレイはほとんど液晶である。本論文では液晶の19世紀末の発見時から、日本の、特にシャープの液晶の最盛時であった1995年ころまでの液晶発展の歴史を追っている。著者はシャープの液晶立ち上げ時に入社し、一技術者として、開発責任者として液晶事業の発展を支えてきた。それだけに記述がシャープ関連の事項に偏った感はある。しかし、液晶事業の基盤をなす技術が何もないところから、世界を席巻する事業に発展させた過程が詳細に記されている。一企業が、一つの事業をゼロから起こして一大産業にまで育て上げるには、どのようなことをなさねばならないかを把握するうえで貴重な情報を含んでいる。

資料の詳細を見る(PDF)(8.9 MB)

092_01Si ウェハを用いた液晶テレビウォッチ
092_022014年度IEEE マイルストン盾
092_03世界初壁掛けテレビ

健康診断時に胸部X線撮影を受けたことのない方はいないだろう。19世紀末、当時盛んに行われていた真空放電の研究の過程で、未知の性質を持った放射線がレントゲンによって発見され、「X線」と呼ばれるようになった。透過力のあるX線による人体の透視映像は、医療技術の進歩に大きな影響を与え、日本においても結核の集団検診などに積極的に活用されるようになる。このX線を発生させる装置は単純な真空管から始まり、出力、寿命、使い易さなど、性能向上を目指した開発が続けられたが、高電圧を扱うだけでなく、放射能対策という安全面の対応にも多岐にわたる工夫がなされ、運用面においては日本独自の規格化も計られてきた。日本におけるX線菅の技術開発の流れを、医療用途を中心に、具体的な撮影術式の進歩も含めて技術の系統化としてまとめている。

資料の詳細を見る(PDF)(17.0 MB)

100_01ギバD型
100_02藤木卯吉の特許
100_034MHU CT 用X 線装置

17世紀、欧州において望遠鏡と顕微鏡が発明され、近代科学への扉を拓く機器となった。顕微鏡の性能を決定づけるのは対物レンズであり、高倍率かつ高解像を目指して、材料やレンズ構成など多くの重要な改良が続けられた。19世紀半ばにはかなり高性能の顕微鏡が作られるようになり、伝染病の研究において多くの病原菌の発見に重要な役割を果たし、細菌学・免疫学の発展に貢献した。顕微鏡は江戸時代中期に日本に伝えられ、一部の蘭学者や文化人の研究、趣味などに使われただけでなく、ごく少数だと思われるが国内でも作られた。明治になると先端医学がいち早く導入され、顕微鏡への需要も急速に高まっていった。明治の後半には国産の顕微鏡が登場するが、性能的には輸入品に及ばなかった。欧州、特にドイツの顕微鏡を目標に発展してきた国産顕微鏡について、対物レンズを中心に技術の系統化を試みた。また、顕微鏡光学系の原理や、各種観察法の解説も盛り込んだ。

資料の詳細を見る(PDF)(15.3 MB)

101_01現存する最古の国産木製顕微鏡
101_02オリンパス AX80
101_03オリンパス UIS 対物レンズ構成図

日本は昔から独自の和時計を生み出してきたが、近代時計産業が大きく発展し、高い評価を得られるようになったのは第二次世界大戦後のことである。圧倒的に先行していたスイスの時計産業に追いつき追越すことを目標に、終戦直後から本格的な時計産業の活躍が始まる。基幹部品の国産化、独自設計による機械式腕時計開発など実績を積み上げ、スイスに肩を並べ得る性能、品質を達成できるまでに技術を向上させていった。1964年の東京オリンピックでは、国内メーカーが公式時計に採用され、世界的な評価を得るようになった。この頃、クオーツ時計への関心が高まり、腕時計のクオーツ化を目指した開発競争が激化したが、1969年セイコーが世界初のクオーツ腕時計を登場させ、技術力を大いにアピールした。クオーツ技術での先行と技術開発の継続によって、日本の時計産業は世界の時計市場を席巻するまでになったが、本報告書ではこのクオーツ腕時計の進歩を中心に、技術の系統化としてまとめた。

資料の詳細を見る(PDF)(16.5 MB)

102_01マーベルの外観
102_02水晶振動子の吊り構造
102_03クオーツアストロン35SQ

19世紀末にエジソンにより発明された蓄音機はベルリナーによる円盤型に進化し、レコードという形で再生音楽という文化・産業を創生した。音楽媒体としてのレコードは約25年ごとに新たな技術が導入され、高音質、長時間のLPという形式にまで進化して音楽産業の発展をもたらした。コンパクトディスク(CD)は1982年にデジタル技術を応用し、従来のLPを凌駕する性能を持つ媒体として登場した。CDはデジタルオーディオを身近なものとし、優れた音楽媒体として認知されまたたく間にLPを置き替え、音楽産業は新たな発展の時期を迎えた。デジタルオーディオの記録媒体として開発されたCDは、デジタルデータの保存媒体としてコンピュータ技術との親和性がよく、CD-ROMという形でPCの発達と同期して用途を広げていった。本報告書はこのCDの開発と応用技術の展開について、オーディオ領域に限らず多角的に論じている。

資料の詳細を見る(PDF)(37.0 MB)

105_01CDP-101
105_02CD関連の主な規格書
105_03CDとCD-R ディスクの構造

現代では個人間でも大量の情報の流通が当たり前のように使われており、通信技術が最重要な社会インフラとして発展を続けている。比較的最近まで通信インフラといえば電話や放送によるアナログ伝送がほとんどであったが、デジタル技術とIT技術の進歩によって一気にデジタルデータが増え、指数関数的な通信量の増加が続いている。高速・大容量の通信に使われる技術は複数の方式が開発・検討されていたものの、光ファイバ通信は初期には有望視されていなかった。光ファイバ通信の基本要素は光ファイバと発光・受光素子であるが、本稿では究極の伝送媒体と考えられている石英系光ファイバの開発を中心に、光ファイバ通信システムの発展経緯を述べ、最新の情報通信技術への応用についても論じている。

資料の詳細を見る(PDF)(27.8 MB)

106_01東工大 「光ファイバ通信」実験
106_02VAD法の概念図
106_03NTT現場試験 (FR-1)模様

写真の歴史はかなり古く、銀塩写真の発明は19世紀の初頭にまでさかのぼる。初期のカメラは木製筐体の大きく重いものであったが、感光体の進歩に伴って徐々に小型化は進んでいった。20世紀初めにオスカー・バルナックが映画用フィルムを使った金属筐体の小型カメラを試作する。第一次大戦後、不況下のドイツにおいて製品化されたこのカメラが「ライカ」であり、近代的な小型精密カメラの出発点となった。優れた光学技術と精密機械技術に支えられ、ドイツはこの後カメラ王国として世界に君臨する。第二次世界大戦の後、1954年に「ライカM3」という画期的な機種が登場し、ライカを追いかけてきた日本のカメラメーカは方針の変更を迫られ「一眼レフ」の開発に舵を切ったが、望遠撮影や接写など被写体の領域が広がる反面、多くの欠点も持つ方式であった。この弱点を克服する積極的な技術開発が奏功し、日本は数年のうちにドイツを追い越し、カメラ大国への道を確かなものにした。本稿では一眼レフに至る日本のカメラ開発の歴史を振り返るとともに、各種の自動化など継続的に行われた技術開発について論じている。

資料の詳細を見る(PDF)(21.8 MB)

108_01ライカⅠ(A)型
108_02ニコンF
108_03ニコンFのミラー機構

時計は誰にとっても馴染み深い機械であるが、動作する姿勢を選ばず携帯することを目的とした「ウォッチ」と、一定の姿勢で使われる「クロック」に分類できる。本報告書は「クロック」に注目し、その技術発展について歴史を踏まえつつまとめたものである。

中世ヨーロッパでは、昼夜の決まった時刻に祈りを捧げる必要から、13~14世紀頃に時刻を知らせる装置として機械式時計が出現した。当時の時計に文字盤はなく、祈りの時刻になると鐘を鳴らして知らせるというものであった。その後市民社会が発達してくるに従い、「時間」の価値が高く認識されるようになり、機械式時計の必要性が高まっていった。社会全体の時刻が重要なインフラになるにつれ、クロックの精度への要求はますます高くなり、機械的な仕組みから電子式へと進化し、クオーツ化や電波時計へと発達していった。このような技術開発の流れを追うと同時に、単なる精度追及に限らず、クロックにおける様々な商品開発についても解説をしている。

資料の詳細を見る(PDF)(7.6 MB)

112_01初期機械式時計
112_02電波クロック
112_03悠久

音を奏でる楽器の歴史は太古の昔に始まり、文明の発達に伴って、単純なものからより複雑な音色を出せるのものへと進化し、様々な精巧な楽器による多彩な音楽表現を実現してきたといえよう。20世紀になって真空管が発明され、電子回路による発信器が作り出す音の高さや音量をコントロールすることが、電子楽器の出発点になったと捉えることができる。新しい音楽表現を求める音楽家の意志が、従来のアコースティックな楽器では不可能だった全く新しい音を電子楽器によって作り出し、より豊かな音楽表現を実現していったのである。本報告では電子楽器の誕生から、主な電子楽器の発展の歴史、さらにデジタル技術の発展による電子楽器の変化と将来像について述べている。また電子楽器の発音の原理と技術発達についても解説を加えた。さらに重要な視点として、電子楽器の発展に多くの影響を与えたアーティストとの関連についても触れている。

資料の詳細を見る(PDF)(4.8 MB)

110_01テルミン
110_02モーグ・シンセサイザー
110_03エレクトーンD-1

パッケージメディアの歴史はオーディオ用のアナログレコードに始まり、多くの技術開発によって進化して来た。1982年には光ディスク技術を用いて、高音質のデジタルオーディオを身近にしたCDが登場した。ビデオの分野では1970 年代の半ばに登場した家庭用VTRが、本格的な普及の始まりであったが、家庭での映画鑑賞が広がり、テレビの性能や放送の質が向上してくるに従い、アナログ方式の家庭用VTRの画質・音質への不満が大きくなっていった。デジタル技術を応用し、CDと同じような光ディスクとして画期的なビデオのパッケージメディアを目指して開発されたのがDVDである。DVDの開発においては、コンテンツを提供する側、すなわちソフトサイドからの要求が提示され、実現するための技術開発がそれに沿って進められるという、従来とは異なる過程をたどった。本報告書ではDVDの仕様が固まるまでの経緯や、フォーマットの作成などについて筆者の観点から解説を試みた。また、ディスク製造、キーデバイス開発、商品開発などDVD全体の技術開発の流れについても技術の系統化としてまとめた。

資料の詳細を見る(PDF)(6.7 MB)

113_01MPEG2エンコーダシステム
113_02光ピックアップ
113_03DVDプレーヤー 一号機

20世期初頭に登場した電子楽器はエレクトロニクスの急速な発展に伴って様々な進化を遂げ、特にシンセサイザーは今までになかった音を生成する装置として、新しい音楽の創生に大きな刺激をもたらした。一方、機種ごとの互換性等は考慮されておらず使い方は難しかった。電子楽器の使い方をより簡単にし、音楽表現の可能性を広げたいという思いから、統一規格を作ろうという動きが生じて来た。こうして電子楽器同士を繋ぐ規格として1983年に制定されたのがMIDI(Music Instrument Digital Interface)である。音の高さや長さを記し楽曲を伝えるものとしては紙媒体の楽譜があるが、MIDI規格は電子楽譜といえるものであり、単に楽器同士を繋ぐだけではなく、楽曲の保存、流通、作曲などに応用が広がっていった。本報告ではMIDIの制定に至る経緯とフォーマットについて技術の系統化としてまとめ、通信カラオケなどMIDIの応用によって創出された分野についても解説している。

資料の詳細を見る(PDF)(6.4 MB)

114_01NAMMショーでのMIDI接続テスト
114_02MIDI 1.0 規格書
114_03DTMパッケージ

磁気テープはVHSテープやコンパクトカセットなど、馴染み深い媒体として長い間音楽や映像(AVコンテンツ)の記録に使われてきた。磁気テープによる音声記録は1920年代に実現され、1950年頃から本格的な普及が始まり、その後50年以上にわたってAVの記録媒体として活躍したが、21世紀になる直前頃から光ディスク、ハードディスクや半導体にその座を譲っていった。一方、磁気テープシステムはコンピュータの黎明期からデータ記録媒体として使われ続けており、高記録密度化や高速化の技術開発は継続されて、近年のアーカイブデータ量の急増に対応してきた。本報告書では磁性体や製造システムなど、我が国が先導し磁気テープ進化の核になった技術の解説と系統化を多角的にまとめた。

資料の詳細を見る(PDF)(5.4 MB)

116_01家庭用ビデオ
116_02LTO7 のテープとドライブ
116_03Baフェライトの垂直配向

1970年頃から本格化した「絵の出るレコード」の開発は、最初、機械式読出し方式から始まったが、レーザー光による読出し方式が実現され、その後の光ディスク発展の基盤が確立されていった。その後、再生専用のCDやDVDの興隆は周知の通りだが、パソコン等で記録再生が可能な光ディスクとしても、MO方式、相変化方式、色素型など種々の技術が開発実用化されていった。これら光ディスクの開発において、主要技術の実現に重要な役割を果たしたのが我が国の研究者、技術者であり、規格の国際標準化にも大きな貢献を果たしたのである。本報告では、光ディスクシステムの開発の経緯を技術の系統化として捉え、事業としての動向とともに技術史としてまとめてみた。

資料の詳細を見る(PDF)(3.3 MB)

118_01「円形開口特許」の模式図
118_02ISO9171 型130mm 光ディスクカートリッジ
118_03寿命加速後の光ディスク欠陥の一例

わが国の電話機は米国でグラハム・ベルが電話機を発明した翌年の1877年以来の歴史を刻んでいるが、その技術は逓信省に代表される政府機関の主導で発展されたことが諸外国とは異なる特徴である。1950年代からは公共企業体の電電公社が協力メーカとともに技術開発を進め世界有数の高性能の電話機を実用化してきた。1985年の電話端末の自由化後は多くのメーカが独自の商品を実用化し1990年代以後の携帯電話機の時代へと導いていった。本報告書ではこうしたわが国の電話機の研究実用化の流れのうち黎明期から1990年頃まで、特に電電公社が研究実用化を主導してわが国独自の電話機技術が大きく開花した終戦直後から電話端末開放までの時期に重点を置いてまとめた。

資料の詳細を見る(PDF)(5.6 MB)

122_01ガワーベル電話機(1890年)
122_02600形電話機
122_03800P電子化電話機「ハウディ」ディスプレイ付

フロッピーディスク(FD)は1967年にIBMにおいて開発が始まり読み書き可能な8インチFDとドライブ(FDD)が導入されたが、1970年代から普及し始めたワープロ、パソコンにとって8インチFDとFDDは高価でサイズも大きすぎた。このような状況下で1980年にソニーが発表した3.5インチFDとFDDは使い勝手が各段に優れていることを評価され1980年代にHP、Apple、IBMに次々と採用され世界標準になった。これは日本メーカーの提案が世界標準となった初めてのケースで画期的な出来事であった。本報告書ではFD及びFDDの進化、3.5インチFD、FDDの技術の詳細とビジネス開拓や、世界標準となっていった経緯及び大容量化への取り組みなどについて述べる。

資料の詳細を見る(PDF)(5.3 MB)

124_018インチFD、5.25インチFD、3.5インチMFD
124_023.5インチMFDD
124_03初代Macintosh

大型映像表示装置オーロラビジョンは、1980年に米国のドジャースタジアムに設置され誕生した。現在では屋内外の競技場はもちろん街中や広場などの公共の場において映像を通じて人々に共通の情報を伝える手段として広く普及している。本報告書は大型映像表示装置の誕生と発展、そして現在に至る技術を系統的にまとめたものである。系統化ではオーロラビジョン誕生前の先行技術や、技術的背景としての各種平面ディスプレイの技術動向を整理し大型映像表示装置との関係を調査した。さらに大型映像表示装置が第一世代、第二世代、そして現在の第三世代へと発展した経緯を紹介し、次の世代を目指して挑戦した技術開発を基にイノベーションについて考えている。

資料の詳細を見る(PDF)(36.6 MB)

128_01オーロラビジョン初号機に使われた光源管
128_02ドジャースタジアムに設置されたオーロラビジョン(1980年)
128_03第二世代オーロラビジョン屋外高輝度型表示ユニット

複写技術の主流である電子写真は1938年に米国でカールソンにより発明され戦後にゼロックス社で商品化された。日本では1970年からの25年間に極めて多彩な技術開発が行われた。主要な企業はカメラ製造業でもあり、文書複写の文字再現だけでなく写真画質の再現にも力を注いだ。また小型・軽量化、低コスト化の設計が上手く魅力的な外観の商品に仕上げることができた。その結果、1970年頃の日本製複写機は性能の割に大型で高価であったが、高速・高機能化すると共に小型、軽量、低価格化がなされ20年後の1990年には重量で1/8、価格で1/4となった。 本報告書では複写技術の発明と黎明期を経て電子写真を用いる複写機に至る製品と技術を調査し、著者の価値観に基づき系統的に述べた。

資料の詳細を見る(PDF)(62.9 MB)

129_01ジアゾ感光紙を用いた複写機リコピー101(1955年)
129_02カールソン発明の電子写真・間接乾式複写機
129_03クラムシェル解放状態のリコーFT6080

薄型大画面の液晶や有機ELのディスプレイを駆動する薄膜トランジスタ用半導体は、近年、アモルファスシリコンからIGZOと呼ばれる酸化物半導体材料に置き換わりつつある。本報告書ではITO材料や多元系透明導電性酸化物の研究開発を端緒として、東工大教授の細野秀雄が1990年代半ばから挑戦してきた新しい酸化物半導体群の創製および若手研究者の実験結果から導き出された「作業仮説」の構築について考察する。さらに酸化物薄膜のエピタキシャル単結晶化技術蓄積と並行して、物質としては対極に位置する「アモルファス」でも「結晶」と遜色ない機能が賦与できるという大きな発見・発明に至った経緯を、企業との共同研究やプロジェクトメンバー個々の研究活動も含め、細野らによる「IGZO系酸化物半導体材料」創製の源流を紐解く。

資料の詳細を見る(PDF)(33.9 MB)

133_01透明アモルファス酸化物半導体材料a-IGZOを産んだ細野研究室PLD装置
133_02フレキシブルな透明アモルファス酸化物薄膜トランジスタ
133_03酸化物半導体トランジスタが搭載されたと思われる製品群

本報告書では国内公衆無線通信として実用化された固定無線通信、国内衛星通信及び公衆移動通信とそれに用いられたアンテナとの関わりについて系統化調査を行った。特に国内公衆無線通信で用いる周波数に着目して、公衆無線通信に適用可能な周波数とアンテナとの関係を明らかにした。さらに公衆無線通信の実用化において研究開発されたアンテナの高性能化技術と公衆無線通信の変遷との関わりについてをまとめた。公衆無線通信用アンテナの設計に際しては各々の無線通信システムに適したアンテナ形式が存在し、アンテナ固有の特性を活かした最適化が図られている。その結果、各々の無線通信システムの高度化に応じて、高性能化および高機能化のための卓越したアンテナ技術が確立されてきたことを述べる。

資料の詳細を見る(PDF)(17.6 MB)

135_01初期の固定マイクロ波通信中継用パスレングスアンテナ(1954年実用化)
135_02初期の通信実験衛星CS衛星搭載アンテナ(1977年)
135_03鉄塔に搭載された携帯電話サービスのための無線基地局アンテナ